It sounds like the start of a sci-fi film, but scientists have shown that AI can design brand-new infectious viruses the first time.
Experts at Stanford University in California used 'Evo' – an AI tool that creates genomes from scratch.
Amazingly, the tool was able to create viruses that are able to infect and kill specific bacteria.
Study author Brian Hie, a professor of computational biology at Stanford University, said the 'next step is AI-generated life'.
While the AI viruses are 'bacteriophages', meaning they only infect bacteria and not humans, some experts are fearful such technology could spark a new pandemic or come up with a catastrophic new biological weapon.
Eric Horvitz, computer scientist and chief scientific officer of Microsoft, warns that 'AI could be misused to engineer biology'. 'AI powered protein design is one of the most exciting, fast-paced areas of AI right now, but that speed also raises concerns about potential malevolent uses,' he said. 'We must stay proactive, diligent and creative in managing risks.' In a world first, scientists have created the first ever viruses designed by AI, sparking fears it such technology could help create a catastrophic bioweapon (file photo).
In the study, the team used an AI model called Evo, which is akin to ChatGPT, to create new virus genomes – the complete sets of genetic instructions for the organisms.
Just like ChatGPT has been trained on articles, books and text conversations, Evo has been trained on millions of bacteriophage genomes.
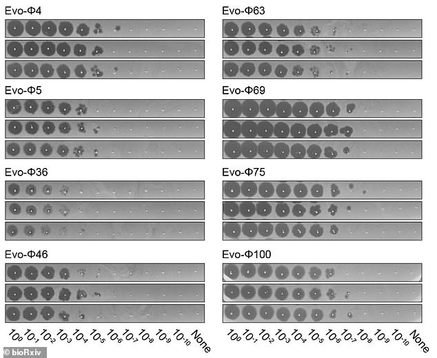
The researchers evaluated thousands of AI-generated sequences before narrowing them down to 302 viable bacteriophages.
The study showed 16 were capable of hunting down and killing strains of Escherichia coli (E. coli), the common bug that causes illness in humans. 'It was quite a surprising result that was really exciting for us, because it shows that this method might potentially be very useful for therapeutics,' said study co-author Samuel King, bioengineer at Stanford University.
Because their AI viruses are bacteriophages, they do not infect humans or any other eukaryotes, whether animals, plants or fungi, the team stress.

But some experts are concerned the technology could be used to develop biological weapons – disease-causing organisms deliberately designed to harm or kill humans.
Jonathan Feldman, a computer science and biology researcher at Georgia Institute of Technology, said there is 'no sugarcoating the risks'.
In the study, the team used an AI model called Evo, which is akin to ChatGPT, to create new virus genomes (the complete sets of genetic instructions for the organisms).
Bioweapons are toxic substances or organisms that are produced and released to cause disease and death.
Bioweapons in conflict is a crime under the 1925 Geneva Protocol and several international humanitarian law treaties.
But experts worry AI could autonomously make dangerous new bioweapons in the lab.
AI models already work autonomously to order lab equipment for experiments. 'AI tools can already generate novel proteins with single simple functions and support the engineering of biological agents with combinations of desired properties,' a government report says. 'Biological design tools are often open sourced which makes implementing safeguards challenging.' 'We're nowhere near ready for a world in which artificial intelligence can create a working virus,' he said in a piece for the Washington Post. 'But we need to be, because that's the world we're now living in.' Craig Venter, biologist and leading genomics expert based in San Diego, has voiced 'grave concerns' about the potential misuse of AI in synthetic biology. 'One area where I urge extreme caution is any viral enhancement research, especially when it's random so you don't know what you are getting,' he told MIT Technology Review.
His warning comes as researchers at Stanford University and Microsoft publish studies highlighting the dual-edged potential of artificial intelligence in engineering biological systems.
In their paper, published as a pre-print in bioRxiv, the Stanford team acknowledge 'important biosafety considerations' and emphasize the 'safeguards inherent to our models.' For example, they ran tests to ensure the models couldn't independently figure out genetic sequences that would make the phages dangerous to humans.
However, Tina Hernandez-Boussard, a professor of medicine at the Stanford University School of Medicine, cautioned that these models are 'smart' enough to navigate such hurdles. 'You have to remember that these models are built to have the highest performance, so once they're given training data, they can override safeguards,' she said.

Her remarks underscore a growing tension between innovation and the ethical risks of AI-driven biotechnology.
The Stanford researchers evaluated thousands of AI-generated sequences before narrowing them down to 302 viable bacteriophages, or 'phages' (viruses that infect bacteria).
The study, which included visualizations of the generated genomes, highlights both the power and peril of AI in synthetic biology.
Meanwhile, a separate study from Microsoft revealed even more alarming possibilities.
Researchers found that AI can design toxic proteins capable of evading existing safety screening systems.
Their work, published in the journal Science, warned that AI tools could be used to generate thousands of synthetic versions of a specific toxin—altering its amino acid sequence while preserving its structure and potentially its function.
Eric Horvitz, chief scientific officer at Microsoft, warned that 'AI powered protein design is one of the most exciting, fast-paced areas of AI right now, but that speed also raises concerns about potential malevolent uses.' He emphasized that 'there will be a continuing need to identify and address emerging vulnerabilities.' These vulnerabilities are not abstract—they are already being debated by experts who see synthetic biology as a field with the potential to revolutionize medicine, agriculture, and environmental science, but also one that could be weaponized.
Synthetic biology, a field that creates technologies for engineering and creating organisms, is being used for a variety of purposes that benefit society.
Applications include treating diseases, improving agricultural yields, and dealing with the negative effects of pollution.

However, the technology also poses many harmful uses that could threaten people, according to a review of the field.
Advances in synthetic biology mean existing bacteria and viruses can be engineered to be much more harmful in a short space of time.
Recreating viruses from scratch, making bacteria more deadly, and modifying microbes to cause more damage to the body are deemed the three most pressing threats.
Although malicious application of synthetic biology might not seem plausible now, experts warn it will become achievable in the future.
This could lead to the creation of biological weapons, or bioweapons, with devastating consequences.
Ex-NATO commander James Stavridis has previously described the prospect of advanced biological technology being used by terrorists or 'rogue nations' as 'most alarming.' He said such weapons could lead to an epidemic 'not dissimilar to the Spanish influenza' a century ago.
Stavridis warned that biological weapons of mass destruction with the ability to spread deadly diseases like Ebola and Zika could wipe out up to a fifth of the world's population.
The specter of bioweapons is not hypothetical.
In 2015, an EU report suggested that ISIS has recruited experts to wage war on the West using chemical and biological weapons of mass destruction.
These warnings, combined with the rapid pace of AI-driven innovation, have sparked urgent calls for global governance frameworks to regulate the use of synthetic biology.
As Venter, Horvitz, and others have stressed, the line between scientific progress and existential risk is increasingly thin—and the world may not be prepared for what lies ahead.